Displasia de Kniest

A Displasia de Kniest é uma displasia óssea muito rara com incidência desconhecida e ocorre em menos de 1 pessoa em cada 1.000.000 de nascimentos. Caracteriza-se por causar anomalias esqueléticas e craniofaciais e baixa estatura desproporcional.

O que é a Displasia de Kniest1?

A Displasia de Kniest é uma doença congénita rara causada por um defeito no gene COL2A1 que conduz a um colagénio de tipo II alterado. As pessoas apresentam baixa estatura desproporcionada, anomalias oculares, fenda palatina e perda de audição. Esta condição foi descrita pela primeira vez pelo Dr. Wilhelm Kniest em 1952, que publicou o caso de uma rapariga de 3 anos de idade. O Dr. Kniest notou que esta tinha deformações ósseas e mobilidade articular limitada, baixa estatura e mais tarde desenvolveu cegueira, resultante de descolamento da retina e glaucoma.

O impacto a nível físico, ou fenótipo, pode variar de  grave em alguns indivíduos e mais ligeiro em outros, mas é classicamente descrito e clinicamente reconhecido por apresentar alterações muito significativas no crescimento ósseo, descolamento da retina e surdez. É geralmente classificada como um tipo de condrodisplasia e, pela sua base molecular, pode também ser considerada como uma forma de colagenopatia, ou mais especificamente, uma colagenopatia de tipo II1,2

hereditariedade

Fig. 1. Hereditariedade: a displasia de Kniest passa de pais para filhos. No entanto, também pode ocorrer como resultado de uma mutação de novo.

O que causa a Displasia de Kniest1?

Assim com a displasia espondiloepifisária congénita e a displasia espondiloepimetafisária tipo Strudwick, a displasia de Kniest pertence ao espectro de alterações esqueléticas causadas por mutações no gene COL2A1. As mutações deste gene resultam em níveis diminuídos de colagénio tipo 2 funcional. Esta substância, o colagénio, é importante na estrutura do tecido conectivo, que existe entre as células do corpo e que dá forma e força aos tecidos. Quando ocorre mutação ao nível do colagénio tipo 2, ocorre crescimento anormal do esqueleto. Este tipo de colagénio encontra-se predominantemente nas cartilagens e no fluido gelatinoso que preenche o centro dos olhos, o humor vítreo, e também se encontra nos ossos.

A Displasia de Kneist é transmitida de pais para filhos de forma autossómica dominante, ou seja, quando uma pessoa com esta mutação tem filhos, existe 50% de possibilidade dos filhos nascerem com a mesma mutação. Em alguns casos, a mutação parece ser espontânea, ocorrendo sem razão aparente, designando-se por mutação de novo.

Características Clínicas e Radiológicas3,4,5,6
  • Alongamentos das metáfises dos ossos longos com epífises de punção irregular

  • placas de crescimento irregulares

  • ausência do padrão ósseo trabecular normal

  • epífises dos ossos tubulares das mãos achatadas e em esquadria

  • estreitamento dos espaços de articulação

  • pélvis em forma de trifólio

  • coxa vara marcada

  • platispondilia

  • com o crescimento, os ossos longos assumem uma morfologia de sino

  • crescimento anormal da cartilagem

  • cartilagem mole e friável com aspecto de "queijo suíço".

  • epífises e ossos da pélvis não ossificadas

  • ossificação retardada das cabeças femorais

  • corpos vertebrais ovóides achatados e fendas coronais

  • membros curtos: micromelia

  • alargamento da epífise com calcificações nebulosas

  • aplanamento epifisário dos metacarposalargamento das extremidades do metacarpo e da falange proximal

 

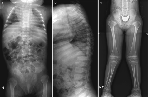
Fig.1. a,b) Radiografias da coluna vertebral de uma menina de 8 meses mostram vértebras planas com cunha anterior. ilíacas curtas e epífises proximais não são ossificadas. (c) vista anteroposterior de uma rapariga de 7 meses mostra um colo femoral largo e curto e uma ossificação atrasada da cabeça femoral. As epífises no joelho são grandes e a placa de crescimento da tíbia tem forma de V invertido. Créditos: Radiology Key

 

Fig.2. Ausência das epífises femorais capitais, alargamento das metáfises e da sínfise púbica e uma pélvis estreita. Créditos: Sciencedirect

 

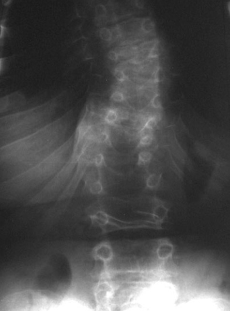
Fig.3. Radiografia frontal da coluna vertebral demonstra platispondilia e escoliose. Créditos: Sciencedirect

 

Outras características e patologias recorrentes incluem: cara redonda e plana com olhos abaulados e afastados, fenda palatina em alguns bebés, patologia respiratórios por laxidão da traqueia, miopia e outros problemas oculares graves são também comuns podem levar à cegueira como descolamento da retina (o camada celular que reveste a porte posterior do olho) e perda de audição resultante de infecções recorrentes dos ouvidos.

 

Diagnóstico

É possível chegar ao diagnóstico com base na análise do historial familiar e exame físico detalhado. Estudos radiológicos, por raio-x, tomografias e ressonâncias magnéticas permitem analisar as estruturas internas dos ossos, e detetar a presença dos característicos buracos na cartilagem (aspeto de "queijo suíço"), confirmando o diagnóstico de Displasia de Kniest. Para caso mais ambíguos, pode executar-se uma biópsia óssea.

Havendo suspeita, é possível realizar testes genéticos para efeitos de confirmação de diagnóstico através da deteção de mutação no Gene COL2A1. Caso exista historial familiar em qualquer dos pais, a análise de sequência pré-natal pode ser feita por amniocentese.


Diagnóstico Diferencial4

Poderá ser necessário avaliar a possibilidade de ser um caso de outras displasia que ocorra por uma mutação diferente no mesmo gene que causa a Displasia de Kniest como:

  • Acondrogénese tipo II
  • Necrose avascular da cabeça femural
  • Displasia da anca tipo Namaqualand
  • Displasia platispondílica tipo Torrance-Luton
  • Displasia espondiloepifisária congénita
  • Displasia espondilometafisária
  • Displasia espondilo-epimetafisária - cúbito curto
  • Síndrome de Stickler tipo 1

 

Tratamento3

Não existe cura ou tratamento farmacológico para a Displasia de Kniest. O tratamento de acompanhamento consiste geralmente na estabilização da laxidão articular, prevenir de contraturas por intervenção cirúrgica, reparação da fenda palatina e do descolamento da retina. O aconselhamento genético pode ser benéfico para as pessoas com displasia de Kneist e as suas famílias.

Outros tratamentos de suporte podem ser bastante complexos devido à variedade de perturbações associadas à displasia de Kniest, para além da sua própria apresentação clínica. Como já referido, a par da baixa estatura, existem também anomalias ortopédicas e craniofaciais, pelo que é necessário um acompanhamento médico multidisciplinar. Poderão ser necessárias diversas cirurgias para tratar discrepâncias no comprimento dos membros, displasia da anca e anomalias craniofaciais. A decisão do momento da cirurgia é crucial: alguns médicos preferem esperar que a criança seja um pouco mais velha para a sua realização, mas na maioria dos casos esta é feita cedo. No entanto, condições como escoliose e displasia da anca só se tornam evidentes na parte final da infância, podendo ser a abordagem cirúrgica adiada até os sintomas se tornarem mais aparentes. As crianças com problemas de audição e visão devem ser acompanhadas de perto para permitir a deteção de qualquer agravamento.

Bibliografia

1. Spranger, J., et al. Kniest dysplasia: Dr. W. Kniest, his patient, the molecular defect. Am J Med Genet, 69 (1997), pp. 79-84

2. Wilkin, D. J., et al. Small deletions in the type II collagen triple helix produce Kniest dysplasia. Am. J. Med. Genet. 85: 105-112, 1999.

3. Brill, P., et al. Skeletal Abnormalities in the Kniest Syndrome with Muchoploysacchariduria. AJR Am J Roentgenol, 125 (1975), pp. 731-738

4. Taybi, H., et al. Radiology of syndromes, metabolic disorders, and skeletal dysplasias (Fourth edition), Mosby, St. Louis (1996), pp. 833-836

5. Maldjian, C. et al. Kniest Dysplasia: New Radiographic Features in the Skeleton,Radiology Case Reports,Volume 2, Issue 2,2007,Pages 72-77

6. Friede, H., et al. Craniofacial and mucopolysaccharide abnormalities in Kniest dysplasia. J Craniofacial Genet Devel Biol, 5 (1985), pp. 267-276

 

Outras fontes:

Genetic Testing Registry

Orphanet

NORD

OMIM

 

Saiba mais sobre:

PARTILHAR: